您所在的位置:泰康同济(武汉)医院 > 新闻动态 > 媒体聚焦
来源:长江日报 时间:2025年04月18日 作者: 浏览量:
近日,泰康同济(武汉)医院(简称“泰康同济”)肿瘤科戈伟主任团队通过CT引导下胰腺穿刺活检技术,为一名72岁的胰腺肿瘤患者明确诊疗方向,避免了不必要的手术风险和创伤。作为穿刺活检界的技术天花板,这一微创技术是我国每年12万例胰腺癌新患者获得精准治疗的保障。
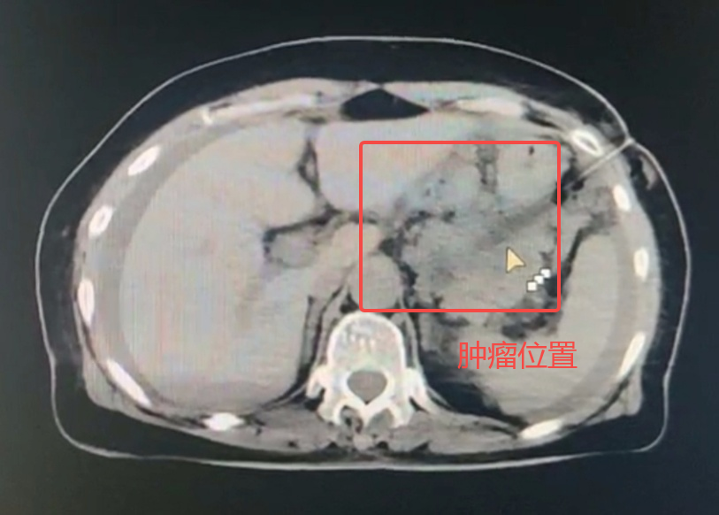
今年3月份,72岁的蔡奶奶因持续腹胀到某医院就诊,影像检查显示胰腺体尾部肿瘤性病变。4月2日,蔡奶奶转入泰康同济接受进一步检查与治疗。

为明确诊断,肿瘤科戈伟主任团队果断施行CT引导下胰腺穿刺活检,采用“双角度进针法”,先经胃壁建立安全通道,再以18G活检针快速获取3条组织标本,全程仅15分钟。穿刺后仅3天即获得病理报告,结果确诊为胰腺癌,团队随即采取针对性治疗。
“现代穿刺技术已实现‘毫米级’精准诊疗,这根细针承载的不仅是组织标本,更是患者活下去的希望。”戈伟表示,影像检查虽能发现占位,但胰腺炎、神经内分泌肿瘤等良恶性疾病影像表现常重叠。而穿刺活检才是病理诊断的“金标准”,不仅能明确良恶性,还能获取分子分型信息,为后续治疗提供检测样本,从而为后续制定个体化治疗方案赢得宝贵时间。
戈伟介绍,胰腺穿刺活检虽有出血、感染、急性胰腺炎、胰瘘、周围器官损伤、假阴性或取样失败等多重风险,但在严格掌握适应症、规范操作及严密监测下,多数风险可控。若疑似胰腺癌或疑难病变,活检的明确诊断价值通常高于潜在风险。
素被称为“癌中之王”的胰腺癌,5年生存率仅12%,因早期症状隐匿,约80%患者确诊时已是晚期,错失了手术机会。时值第31个全国肿瘤防治宣传周,戈伟呼吁,面对胰腺病变不必恐慌,记住“早筛早诊三要素”——40岁以上定期腹部超声、突发血糖波动要警惕、持续性上腹隐痛需排查。