您所在的位置:泰康同济(武汉)医院 > 新闻动态 > 媒体聚焦
来源:湖北农村广播 时间:2025年06月11日 作者: 浏览量:
近日,泰康同济(武汉)医院心血管内科马志强主任团队仅用一根细如发丝的导丝,通过手腕上的一个小针孔,成功为一位饱受心绞痛折磨1年多的患者打通了心脏里完全“堵死”的血管。这台高难度微创手术的成功,标志着泰康同济(武汉)医院心血管介入技术已达到行业领先水平。
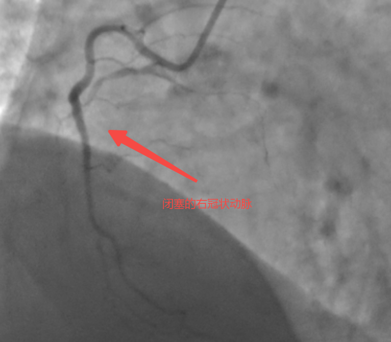
57岁的患者张先生(化名)近1年以来反复出现胸闷症状,经当地医院检查后被诊断为“慢性完全闭塞病变(CTO)”,心脏处三根大血管发生严重病变,其中很重要的一根血管(右冠脉)完全堵死,还长满“硬石头”般的钙化斑块。当地医院反复尝试介入治疗,均未成功打通血管,且评估认为开胸搭桥的效果也不理想。不愿意接受开胸手术的张先生,慕名来到泰康同济(武汉)医院心血管内科就诊。

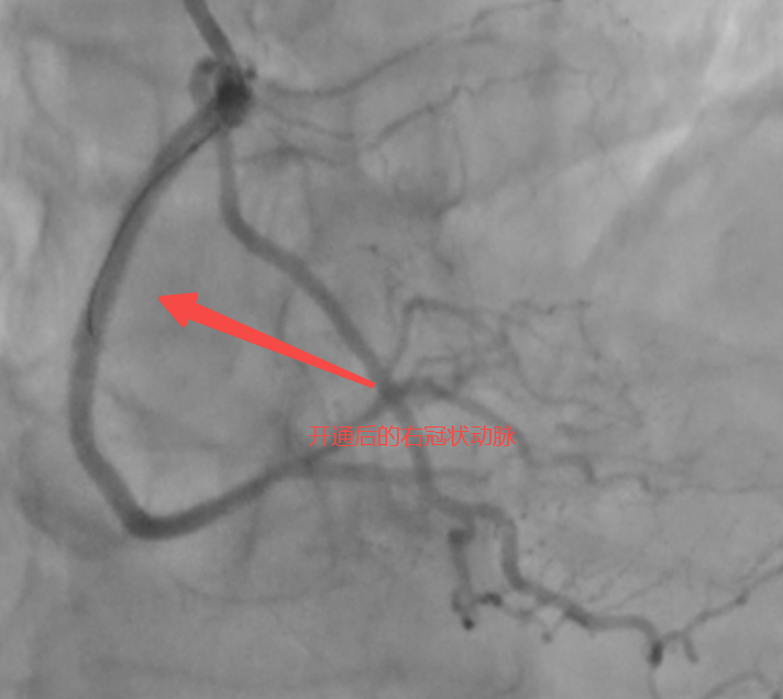
慢性完全闭塞病变常被称为“冠脉介入的最后堡垒”,尤其是当血管100%闭塞且伴有严重钙化、迂曲时,正向开通的成功率极低。面对张先生复杂的病情,马志强主任团队经过缜密评估,决定采用国际前沿的“逆向介入技术”,通过心脏内极其细小的侧支循环血管建立通道,从闭塞血管的远端进行逆向开通,犹如在“心脏禁区”中开辟一条生命之路。
马志强主任介绍,“逆向介入手术”主要有三大难点:第一,侧支血管极其纤细,需在直径不足0.5mm的侧支血管中精准操作,稍有不慎就会导致血管破裂;第二,逆向操作风险极高,导丝逆向通过后需确保正向血流恢复,技术难度远超常规手术;第三,重建血管通路,成功开通后,需要精准植入可释放药物的支架,撑开血管,恢复有效血流。

术中,马志强主任团队启用三维冠脉造影精准定位侧支路径,以头发丝般纤细的导丝,在侧支血管中实现“毫米级”推进,成功建立逆向通路。随后通过多项正向、逆向技术成功打通血管并植入药物支架,恢复右冠脉血流。术后患者胸闷症状缓解,次日即可下床活动,目前已顺利出院。
“每一台复杂手术的成功,都是团队协作、技术积累和先进设备共同作用的结果。”马志强主任表示,泰康同济(武汉)医院目前已配备了先进的双向数字减影血管造影机(DSA)、血管内超声等设备,并组建了由心脏介入专家、急诊团队、影像团队共同组成的“心脏护航组”,能够为广大患者提供微创、有效的治疗选择,避免开胸之苦。
目前,泰康同济(武汉)医院正联合周边医疗机构,积极推进“胸痛救治全域网络”建设,通过5G远程会诊、智能救护车等科技手段,实现“患者未到,信息先到”,让更多急危重症患者能够及时得到优质、高效的医疗服务,重获“心”生。